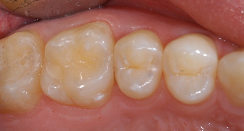
Mehrschicht- Kunststoff- Restaurationen: modern, ästethisch, sicher
Sie ermöglichen maximale Schonung der vorhandenen Zahnsubstanz
Sie sind metallfrei
Sie werden fugenlos mit dem eigenen Zahn verklebt
Sie werden innerhalb von einer Behandlungssitzung fertiggestellt
Dr. Stigler
Der Weg zu uns
Sprechzeiten
Zahnarzt
Wunschbrunnen
Implantate
Restaurationen
Ästhetik
Karriere
Notdienst
Impressum
Datenschutz